Звоните нам
+7 747 141 39 02

VIVACE

VIVACE

МУЛЬТИПОЛЯРНАЯ РАДИОЧАСТОТНАЯ ФРАКЦИОННАЯ СИСТЕМА

Для лифтинга и шлифования кожи

Снайперское оружие в борьбе с различными несовершенствами кожи
Минимальная боль - максимальный эффект


Описание
О технологии
Результаты
Описание

VIVACE — РЕШЕНИЕ САМЫХ АКТУАЛЬНЫХ ПРОБЛЕМ КОЖИ

vivace_preview

О процедуре


Локализация обработки RF лифтинга — лицо, шея, декольте. Можно добавить плечи, голени, область живота, груди, коленей, локтей, предплечья. Средний курс процедур 4–6, с интервалом от 3 до 6 недель в зависимости от проблематики.

VIVACE – ЛУЧШИЙ В СВОЁМ КЛАССЕ АППАРАТ ДЛЯ РАДИОЧАСТОТНОЙ RF ТЕРАПИИ VIVACE – cамый продаваемый аппарат в США в классе «Microneedling Rf», выбор пациентов по версии ресурса Realself 2019–2020, более 400 клиник и докторов в США выбрали VIVACE, более 5000 аппаратов по всему миру, имеющий самый высокий положительный рейтинг после процедуры в своём классе, лучший аппарат 2018 и 2020 года по версии топового издания «Аesthetic Everything», одобрен FDA.


vivace_preview
vivace_preview
vivace_preview
vivace_preview
vivace_preview
vivace_preview
vivace_preview
vivace_preview

О технологии

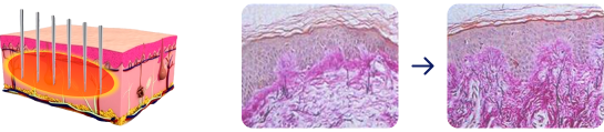
Коллаген стимулирующая терапия CIT (Collagen Induction Therapy)


CIT по технологии Microneedling RF является одним из новейших и наиболее результативных методов лечения. С помощью одноразового наконечника микроиглы, проникают на заданную глубину кожи для запуска природного механизма синтеза нового коллагена. Эта методика не вызывает серьезного повреждения на поверхности кожи и пост воспалительной гиперпигментации. В отличие от лазерной регенерации микроигольчатая радиочастота может использоваться на всех типах кожи, даже в чувствительных зонах, таких как периорбитальная область. Благодаря этому период реабилитации минимальный.


Проникновение микроиглами

Излучение радиочастотной энергии

Запуск нового коллагена и эластина


Механизм заживления ран WHM (Wound Healing Mechanism)


Радиочастота (RF) является одной из наиболее часто используемых технологий омоложения кожи. Это также хорошо известный метод лечения или уменьшения дряблости кожи, морщин и старения кожи. Когда радиочастотная энергия доставляется через фракционные микроиглы, она коагулирует обработанный слой кожи и активирует заживление ран, выработку коллагена и эластина.

В результате кожа подтягивается, а морщины разглаживаются. RF энергия также помогает нормализовать выработку кожного сала, что, в свою очередь, улучшает состояние акне.


WHM

Основные характеристики VIVACE:


  • Выбор частоты энергии 1МГц или 2 МГ в зависимости от типа кожи.

    1MHz

    2MHz

  • Стерильность и безопасность процедуры Vivace обеспечивается одноразовыми сменными насадками.
  • Каждая частота, МГц формирует различный размер зоны коагуляции и зоны регенерации, поэтому возможны различные режимы обработки для поставленных задач. Чем ниже плотность энергии, тем больше зона воздействия. Чем выше плотность энергии, тем более точечная зона воздействия.
  • Изолированные иглы — радиочастота влияет на ткани вокруг неизолированного кончика (0,3 мм от конца иглы) только на слой дермы, для регенерации кожи. Это смягчает ощущения во время процедуры, и способствует максимально быстрому восстановлению. Синий светодиод (470нм) – обеспечивает противовоспалительный эффект, легко убивает бактерии рода акне.
  • Неизолированные иглы — радиочастота влияет по всей длине иглы, то есть на эпидермис и на дерму, для терапии шрамов и расширенных пор. Во время процедуры важно соблюдать температурный режим, для снижения риска ожога и повышения комфорта пациента, используется плотность энергии 2Мгц. Красный светодиод (760нм) — стимулирует клетки кожи, наращивает синтез коллагена, повышает увлажнённость кожи, её цвет и текстуру.
  • Насадки не имеют ресурса. На каждой расположены 36 позолоченных гипоаллергенных игл, расположенных на 1 см². Встроенный моторизированный механизм, обеспечивает плавное погружение игл, для максимального комфорта и безопасности процедуры.

Основные характеристики VIVACE:

  • Насадки: 36 позолоченных игл в насадке, 2 вида насадок (изолированные и неизолированные).
  • Диаметр иглы: 300 мкм.
  • Площадь насадки: 1 см2.
  • Мощность RF: от 40 до 70 Вт.
  • Частота RF: 1 МГц и 2 МГц.
  • Глубина воздействия: ступенчатая регулировка от 0,5 до 3,5 мм.
  • Время воздействия: ступенчатая регулировка от 100 до 800 миллисекунд.
  • Манипула: кнопка на манипуле активирует выдвижение насадки с микроиглами. Манипула оборудована красными (760 нм) и синими (470 нм) светодиодами для вспомогательной светотерапии, которые также удобно использовать для контроля проведения процедуры (активируются в момент выдвижения микроигл).
  • Экран: сенсорная панель 10,4" с возможностью сохранять 4 набора параметров.
  • Размеры: длина – 33,5 см; ширина – 37,5 см; высота – 121 см.
  • Вес: 30 кг.
  • Производитель: Shenb (Южная Корея).
  • Сертификация: FDA, CE, KFDA, РУ.
Результаты процедур
before after
before after
before after
before after
before after
before after
before after

Возникли вопросы? Свяжитесь с нами!

Заполните поля и наш менеджер свяжется с вами*